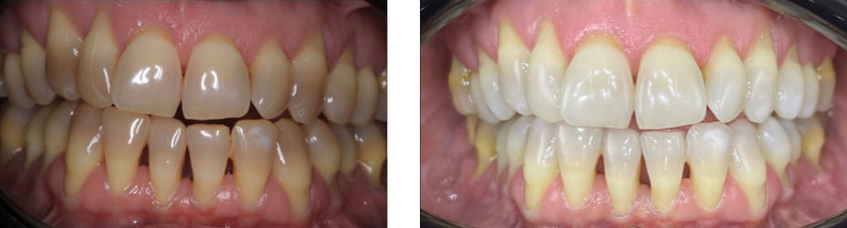
Durante el curso se revisarán las últimas actualizaciones en las técnicas y agentes blanqueadores así como los protocolos actuales paso a paso para el tratamiento de las diferentes discromías desde leves a moderadas. Se tratarán las posibles complicaciones como la sensibilidad dental, el manejo de recidivas tempranas y se facilitarán tips y trucos para el dominio del tratamiento con blanqueamiento dental e incorporación, de una manera multidisciplinar, en la práctica diaria.
Parte teórica. 2,50 horas de duración
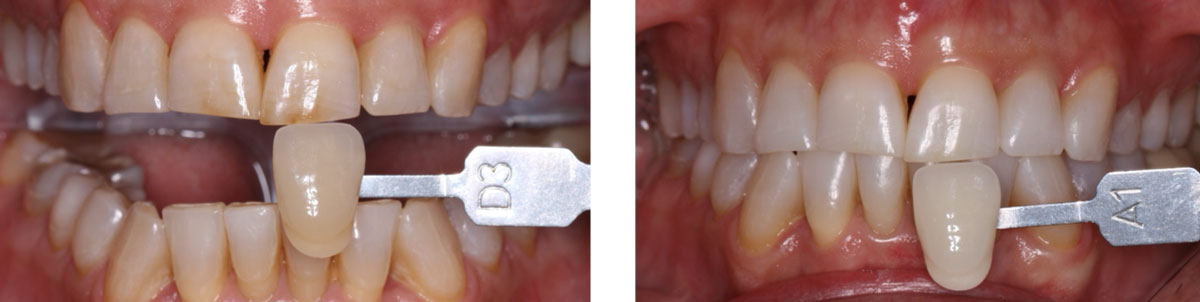
- Discromías. Clasificación y Etiología
- Agentes Blanqueantes. Tipos y Mecanismos de Acción
- Técnicas de Blanqueamiento Actuales en Dientes Vitales y No Vitales
- Protocolos de Actuación y Planes de Tratamiento en Discromías Leves a Complejas.
- Relación Blanqueamiento-Sensibilidad. Manejo y Tratamiento.
- Mantenimiento y Control de las Recidivas.
- Tips en la Reconstrucción del Diente Blanqueado.
Parte de demostración. 1 hora de duración.
Exposición y explicación de todos los materiales y aparatología necesaria para el tratamiento de blanqueamiento dental tanto en clínica como domiciliario. El alumno podrá familiarizarse con todos ellos y resolver cualquier duda en cuanto a su uso que pudiese surgir.










