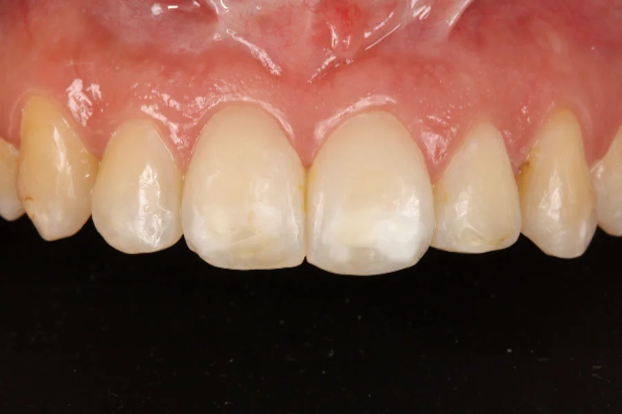
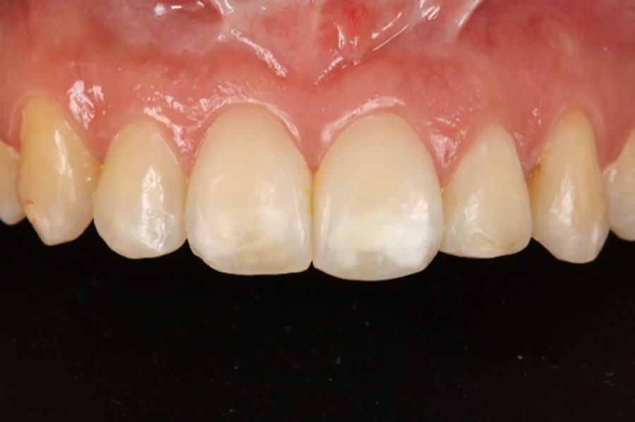
Las lesiones blancas son alteraciones de la superficie del esmalte, y constituyen una de las alteraciones que con más frecuencia producen una afectación estética de los dientes. La mayoría de estas lesiones, corresponden a lesiones de mancha blanca de origen carioso y son la primera manifestación clínica de caries en el esmalte y en menor medida, también pueden deberse a un defecto de desarrollo del esmalte. Estas lesiones están asociadas a una disminución en el contenido mineral del esmalte presentando una estructura más porosa. La apariencia blanca se debe a un fenómeno óptico de diferencia entre los índices de refracción del esmalte sano y la lesión de mancha blanca, causado por la pérdida de minerales.
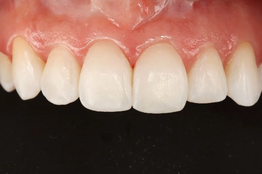
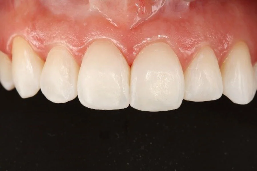
Una alternativa mínimamente invasiva para el tratamiento estético de estas lesiones es la infiltración de resina (ICON), que presenta un índice de refracción similar al del esmalte sano y puede asimismo igualar la diferencia de la refracción de la luz.
OBJETIVOS DE APRENDIZAJE DEL CURSO
- Aprender a diagnosticar y conocer las características de las lesiones para poder decidir si pueden ser tratadas con la técnica de resina infiltrativa (Icon).
- Aprender el procedimiento de infiltración por completo y los tips clínicos para mejorar los resultados de esta técnica.
PROGRAMA
Parte teórica:
- Etiología de las lesiones
- Características de las lesiones y la importancia del correcto diagnóstico para decidir el tratamiento.
- Alternativas de tratamiento:
- Remineralización, blanqueamiento, microabrasión, restauraciones directas o indirectas.
- Infiltración con resina (ICON)
- Paso a paso de la técnica
- Infiltración profunda, alternativa en casos más complejos
- Casos clínicos
- Longevidad
- Conclusiones
Parte práctica:
- Paso a paso del tratamiento de resina infiltrativa (Icon)
- Requisitos:
- El alumno no necesita tener conocimiento previo, ni llevar ordenador.
- El alumno necesitará llevar gafas de protección o pantalla y pinza algodonera.





